Editor's Note: Part 1 of this article appeared in the October 2016 issue.
Most overuse injuries are benign, but there are some high-risk injuries that, if unrecognized or inappropriately treated, can result in significant loss in time from the sport or even require leaving the sport. High-risk overuse injuries include certain stress fractures, physeal stress injuries, osteochondritis dissecans, some apophyseal injuries and effort thrombosis. Table 2 is a summary of the common high-risk overuse injuries.
Bone stress fractures will heal uneventfully if treated appropriately, but there are certain stress fractures that do not heal well. Moreover, if not identified and treated properly, they may progress to nonunion, resulting in chronic pain and leading to degenerative joint disease.
For example, nonunion of a stress fracture of the tarsal navicular can lead to degenerative joint disease. Stress fractures of the pars interarticularis can lead to spondylolysis, which is relatively common in young athletes. As high as 48 percent of young athletes with lower back pain are found to have occult spondylolysis.
Table 2: High-Risk Overuse Injuries
| Hip / pelvis | Femoral neck (tension-sided) |
| Lumbar spine | Pars interarticularis stress fracture |
| Leg | Anterior cortical tibial stress fracture |
| Ankle | Medial malleolar stress fracture, talar dome osteochondral defect, talar neck stress fracture |
| Foot | Tarsal navicular stress fracture, fi fth metatarsal proximal diaphyseal stress fracture, sesamoid stress fracture |
| Knee | Patellar stress fracture, osteochondritis dissecans of femoral condyle or patella |
| Shoulder / arm | Effort thrombosis |
| Elbow | Osteochondral dissecans capitellum, apophyseal nonunion of medial epicondyle |
| Wrist | Distal radial physeal stress injury |
Progression to nonunion ranges from 14-70 percent, depending on the study. The average time needed to return to playing a sport is five months if appropriately treated.
Most apophyeal injuries resolve when the physis closes, but at times, the apophyses never fuse and may result in an ossicle that causes persistent pain. This can be observed at the tibial tubercle, anterior inferior iliac spine and ischial tuberosity.
FIG 1 Osgood-Schlatter. Patient is in track and field; symptoms lasted for 18 months with a need for immobilization for two weeks before symptoms began to improve.
While we don't have the space to review all the high-risk overuse injuries, there are a few quite common ones I'd like to mention. One of the more common sports-related injuries is Osgood-Schlatter disease, which is actually a misnomer because it is not a disease. The condition is a result of a traction apophysitis at the tibial tuberosity due to the pull of the quadriceps muscle group via the patella tendon. Symptoms correlate with the times of rapid growth, typically from ages 12-15 in boys and ages 8 to 15 in girls.
Patients typically complain of insidious onset of anterior knee pain associated with localized swelling at the tibial tuberosity. However, pain also can be initiated by a traumatic event such as a forceful jump, or direct trauma from a fall or blow to the tibial tuberosity.
Pain is exacerbated by activities such as running or jumping. Even kneeling can exacerbate the pain when the apophysis is inflamed. X-rays are helpful primarily to rule out tibial stress fractures.9-10 (Figure 1)
The other more common avulsion injury, which often is difficult to determine on radiographs, is an injury to the hip or pelvis. Figure 2 demonstrates an avulsion fracture of the iliac crest. Management of hip and pelvis apophysitis depends on the degree of pain and disability of the athlete. If walking and standing are painful or the athlete is limping, then protected weight-bearing on crutches may be necessary initially.
FIG 2 Iliac crest avulsion fracture on AP view of pelvis. Note widening of the apophysis (arrows) compared with opposite side.
Rest should be followed by a period of rehabilitation including stretching and strengthening of the hip and abdominal muscles. Once the athlete achieves full, pain-free range of motion and strength, a gradual return to sport may begin. Athletes can expect return to full participation in 4-6 weeks, depending on the initial degree of pain and disability and compliance with rest and rehabilitation. As many clinicians know, compliance can be difficult for the athlete, and support from coaches and even parents can be challenging.9-10
Imaging for stress reactions or fractures should begin with X-rays, but many injuries may not be visible until several weeks following the onset of pain. MRI is the study of choice for early stress fracture diagnosis in most instances, but is expensive. When in doubt, err on the side of caution and treat as if there is a stress fracture if clinical findings correlate.
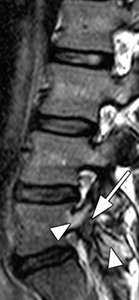
FIG 3 Magnetic resonance sagittal slice through the lumbar spine demonstrates stress fracture at the pars interarticularis of L5. Note marrow edema (bright signal arrows), fracture line arrow with tail.
Another common injury is a stress fracture of the pars interarticularis. Often the stress reaction is not visible on X-rays and even MRI studies can be equivocal. A SPECT bone scan may be necessary to diagnosis spondylolysis. It is a relatively common cause of back pain in young athletes.
Progression to nonunion ranges from 14-70 percent, depending on the study. Athletes left untreated or who undergo delayed treatment have the highest rates of nonunion, research suggests.
In a retrospective study of youth soccer players diagnosed with lumbar spondylolysis, those who took at least three months off from the sport, with or without bracing, experienced the best results. Other studies indicate the average time needed to return to sport is five months.9-10 Figure 3 demonstrates bilateral stress fractures of the pars on MRI. Patient is a 15-year-old male who played basketball.
Parents and coaches need to be more informed regarding these injuries. Chiropractors who have a keen interest in sports can be a wonderful resource for the prevention and treatment of most overuse injuries. The public needs to be made aware of that and more chiropractors need to step up to the plate and play ball, so to speak.
References (Parts 1 & 2)
- DiFiori J, et al. Overuse injuries and burnout in youth sports: a position statement from the American Medical Society for Sports Medicine.
- http://injuryprevention.bmj.com/content/9/2/117.full
- Broglio SP, Cantu RC, Gioia GA, et al. National Athletic Trainers' Association position statement: management of sport concussion. J Athletic Training, 2014;49(2):245-265.
- Merkel DL. Youth sport: positive and negative impact on young athletes. Open Access J Sports Med, 2013;4:151-160.
- https://will.illinois.edu/illinoispioneers/program/human-kinetics-founder-rainer-martens
- Institute for Sport Coaching: http://www.instituteforsportcoaching.org/
- Kerssemakers S, et al. Sport injuries in the paediatric and adolescent patient: a growing problem. Pediatr Radiol, 2009;39:471-484.
- Valovich McLeod TC, Decoster LC, Loud KJ, et al. National Athletic Trainers' Association position statement: prevention of pediatric overuse injuries. J Athletic Training, 2011;46(2):206-220.
- Miller T, Kaeding C. Stress Fractures in Athletes: Diagnosis and Management. Springer, Oct. 20, 2014.
- Cassas K, Cassettari- Wayhs A. Childhood and adolescent sports-related overuse injuries. Am Fam Physician, 2006 Mar 15;73(6):1014-1022.
Supplemental Reading
- www.stopsportsinjuries.org/STOP/Prevent_Injuries/Our_Resources.aspx
- www.momsteam.com/health-safety/youth-sports-safety-by-numbers
- https://www.guideline.gov/summaries/summary/38462
- Safe Kids Worldwide (SKW). Sports and Recreation Safety. Washington, D.C.: SKW, 2007.
- Dunn AS, Baylis S, Ryan D. Chiropractic management of mechanical low back pain secondary to multiple-level lumbar spondylolysis with spondylolisthesis in a United States Marine Corps veteran: a case report. J Chiro Med, 2009;8(3):125-130.
Click here for more information about Deborah Pate, DC, DACBR.

