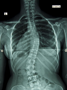
Scoliosis is a lateral curvature of the spine that measures 10 degrees or more. An idiopathic scoliosis is accompanied by vertebral rotation and rib-cage deformity, and usually becomes progressively apparent as the spine grows during childhood.
Spinal Development
The pineal gland produces melatonin, a hormone that appears to influence the development of a balanced spine. Surgical removal of the pineal gland in young chickens2 and in bipedal rats3 has produced spinal curvatures very similar to human idiopathic scoliosis, including vertebral rotation and rib humps. In the rat study, the investigators found that providing a source of melatonin prevented the development of scoliosis in pinealectomized rats. They theorized that "melatonin may facilitate the fine neuromuscular coordination needed to maintain the 24 stacked vertebrae in balance."
While some studies have found that human patients with progressive scoliosis may have lower levels of melatonin, other investigations have not been able to establish a direct correlation.4 A 2004 study of 41 patients with adolescent idiopathic scoliosis found defects in the melatonin signaling pathways in their osteoblasts.5
Numerous studies have shown that humans with scoliosis have various deficiencies in muscle coordination and standing balance, but the source of these difficulties with fine motor control is still unknown. The gait of children with scoliosis has been found to be somewhat abnormal, but there is controversy about whether this causes a curvature to develop or is simply a result of walking with a curved spine.
A study that used sophisticated measuring devices and advanced computer analysis has provided some initial answers.6 The investigators found several significant differences in gait between normal children and those with scoliosis, and they found that children with scoliosis had substantially higher inter- and intrasubject variability. There was also substantial bilateral asymmetry in their lower limbs when walking. This was most noticeable in the medial-lateral component of gait, indicating problems with pronation and supination control.
They observed: "These findings indicate a different functional role for the left and right limbs during gait," and that the "differences between the scoliosis and the control group, together with previously reported abnormalities of torsion in the tibia and femur and the hypothesis of pelvic rotation, suggests these are primary mechanisms of the cause of idiopathic scoliosis."
The researchers concluded that patients with scoliosis "exhibit balance problems during the stance phase of gait and have significant asymmetry in the frequency characteristics. These findings could be a primary effect that contributes to the medial-lateral deformity of the spine and its initiation and progression."6 Later research has concluded that "Somatosensory dysfunction in AIS patients shows to have an impact on dynamic balance control."7
Chiropractic's Role
These studies are exciting, as they open up the very real possibility of preventing or at least significantly slowing the progression of idiopathic scoliosis with conservative methods. While much more study needs to be done, it is quite possible that chiropractic care will be the accepted scoliosis treatment of the future. This care will likely include careful spinal adjustments, individually designed stabilizing orthotics for better foot function and gait symmetry, and nutritional supplementation of melatonin levels, along with exercise recommendations to improve body balance and neuromuscular coordination.
Each young patient with a scoliosis must be evaluated to determine the classification of the spinal curvature and its potential for progression. When conservative treatment is indicated, nutritional support for the pineal gland should be considered. Perhaps most importantly, the neurological and musculoskeletal systems need to be checked thoroughly – starting with the feet. Exercises to develop fine control of balance and posture, as well as gait training, may be helpful. Some type of stabilizing orthotics should be considered early in the treatment of all patients with scoliosis to help improve bilateral balance and gait symmetry.
References
- de Baat P, van Biezen EC, de Baat C. Scoliosis: review of types, aetiology, diagnostics, and treatment 1. Ned Tijdschr Tandheelkd, 2012;119(10):474-478.
- Dubousset J, Queneau P, Thillard MJ. Experimental scoliosis induced by pineal and diencephalic lesions in young chickens: its relation with clinical findings. Orthop Trans, 1983;7:7.
- Machida M, Murai I, Miyashita Y, et al. Pathogenesis of idiopathic scoliosis: experimental study in rats. Spine, 1999;24(19):1985-1989.
- Brodner W, Krepler P, Nikolakis M, et al. Melatonin and adolescent idiopathic scoliosis. J Bone Joint Surg Br, 2000;82:399-403.
- Moreau A, Wang DS, Forget S, et al. Melatonin signaling dysfunction in adolescent idiopathic scoliosis. Spine, 2004;29:1772-1781.
- Giakas G, Baltzopoulos V, Dangerfield PH, et al. Comparison of gait patterns between healthy and scoliotic patients using time and frequency domain analysis of ground reaction forces. Spine, 1996;19:2235-2242.
- Lao ML, Chow DH, Guo X, et al. Impaired dynamic balance control in adolescents with idiopathic scoliosis and abnormal somatosensory evoked potentials. J Pediatr Orthop, 2008;28(8):846-849.
Click here for previous articles by Mark Charrette, DC.

