127 Achilles Tendon Tear Caused by a Common Antibiotic
Printer Friendly Email a Friend PDF RSS Feed

Dynamic Chiropractic – October 21, 2008, Vol. 26, Issue 22

Achilles Tendon Tear Caused by a Common Antibiotic

By Deborah Pate, DC, DACBR

When we think of Achilles tendon tears, we first think of overuse. Well, don't be so quick to make that assumption. There are several causes for tendon tears besides overuse, one being certain medications such as antibiotics and corticosteroids.

As chiropractors, we generally aren't always aware of pharmaceutical side effects, but it is my opinion that we need to know some of the pharmaceutical side effects that affect the musculoskeletal system.

Causes of Achilles Tendon Tear

  • Overuse
  • Biomechanical: misalignment, improper footwear
  • Medication side effects: quinolone group of antibiotics, cortisone, long-term use of steroids
  • Accidents/trauma
  • Underlying arthropathy: gout, RA, lupus
  • Other underlying systemic diseases: hyperparathyroidism, chronic renal failure, diabetes

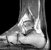
 - Copyright – Stock Photo / Register Mark Sagittal T1 Most chiropractors treat patients who have musculoskeletal problems. This patient population is often being treated concurrently with medications for the same complaints. To complicate matters even more, some of these patients may even be seeking chiropractic care for symptoms that are caused by medications, of which neither the patient nor their chiropractor is aware.

It's not possible to keep up with all the drugs that our patients might be taking. We should, however, be aware that some medications may adversely affect the musculoskeletal system. We need to know what our patients are taking and should consider the possibility that a patient's medication may contribute to some of their symptoms, however remote that may seem. Most patients don't read all the information on the insert and most clinicians don't have the time to discuss all the side affects of the medication they are prescribing to the patient. Fluoroquinolones, which are antibiotics, are a case in point.

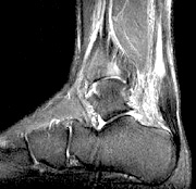
 - Copyright – Stock Photo / Register Mark Sagittal T2 With Fat Saturation Fluoroquinolone antimicrobial drugs are used to treat an extensive range of bacterial infections including pneumonia, bronchitis, skin and urinary tract infections. They are marketed under numerous names; Ciprofloxacin, Cipro, Baycip, Cetraxal, Ciflox, Cifran, Ciplox, Cyprobay and Quintor are the most common. One needs to be a pharmacist to know all the different ways this drug is marketed.

Fluoroquinolones are associated with increased risk of tendonitis and tendon rupture. Tendonitis and tendon rupture most frequently involve the Achilles tendon, but tendonitis and tendon rupture in the rotator cuff, hand, biceps and thumb have also been reported. The risk of developing fluoroquinolone-associated tendinitis and tendon rupture is especially increased in patients over the age of 60 and in those concomitantly taking corticosteroid drugs.1 Patients with gout, rheumatoid arthritis, and kidney, heart or lung transplants are also at risk. Patients who have received cortisone injections to the tendon are also at a higher risk for tear. Tendon rupture can occur during or even after completion of fluoroquinolone use. There have been reported cases of tears occurring up to several months after completion of therapy.2

Most clinicians are aware of this complication because this side effect is noted in the prescribing information. It is not presently known how fluoroquinolones cause tendon weakening. This will hopefully be discovered soon. It is interesting to note that there are presently no warnings on the box. If the patient isn't informed by the prescribing clinician, they might continue to use the medication even when symptoms develop. Most people do not associate calf pain as a side effect of antibiotic therapy. Unfortunately, the medication needs to be stopped immediately if the patient experiences tendon pain or inflammation in order to avoid tendon rupture. This will change because there is presently an ongoing lawsuit against at least one manufacturer due to this very issue.

The following is a case history:  A 55-year-old long-distance runner who is a regular chiropractic patient has a main complaint of right SI joint pain that is intermittent and aggravated by long periods of standing, walking or running. He had this problem before and generally only needs a couple of adjustments to relieve his symptoms. He also had some minor, bilateral calf pain with minimal tenderness in both Achilles tendons, which he stated was not uncommon when he was training to run in a marathon. Unfortunately, he failed to mention that three weeks previously, he had suffered a urinary tract infection and was given a 10-day course of Cipro. He was examined and given a chiropractic adjustment, with a recommendation to return in two days for another adjustment. He was also told to take it easy in terms of running for the next few days until his symptoms abated. He continued to run, with increasing symptoms mainly involving his right calf, with tenderness and swelling in the right Achilles tendon. He returned to his chiropractor, who immediately sent him for an MRI of his right Achilles tendon. The MRI demonstrated a partial tear of the tendon.

 Fortunately, the patient avoided a complete tendon tear because he was being treated by an astute chiropractor. It took some historical researching with the patient to discover the cause of the tear because he was not taking any medication at the time he developed the symptoms. In fact, the patient probably would not have ever mentioned that he had taken antibiotics, even if asked by the chiropractor. It isn't something we generally ask on any patient intake forms. This is a relatively rare side effect, but it is a well-documented problem that deserves your consideration.

References

  1. Van der Linden, et al. Increased risk of Achilles tendon rupture with quinolone antibacterial use, especially in elderly patients taking oral corticosteroids. Arch Intern Med, 2003;163:1801-7.
  2. Williams, et al. The effect of ciprofloxacin on tendon, paratendon, and capsular fibroblast metabolism. Am J Sports Med, 2000;28:364-9.

Click here for more information about Deborah Pate, DC, DACBR.


To report inappropriate ads, click here.