Coronary artery disease (CAD) is the number-one cause of death in the Western world. Therefore, being able to detect this disease, particularly early on, before invasive measures are necessary, is extremely important.
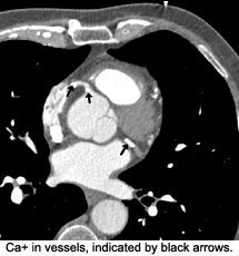
Cardiac CT is particularly useful for detecting high densities in the body; for example, calcium in vessels. Calcium scoring is a technique whereby the extent of calcification in the coronary arteries is measured and scored. It has been around for many years and was initially performed using electron-beam CT (EBCT). This technique is now increasingly performed using multi-slice CT, which is a faster scanner and is considered more accurate. Programs have been designed to identify Ca+ in lesions at a specific threshold, i.e., 130 Hu. The lesion score is calculated by multiplying the lesion area by a density factor derived from the Hounsfield unit (Hu) within this area. For example, a density factor of 1 is assigned for lesions with a maximal density of 130-199 Hu; a density factor of 2 for lesions 200-299 Hu; 3 for lesions 300-399 Hu; and a density factor of 4 for lesions > 400 Hu.
A total calcium score is derived by summing individual lesion scores from each of four anatomic sites (left main, left anterior descending, circumflex, and right coronary arteries). This calculation becomes the calcium score. There is a direct correlation between the extent of calcium in the coronary arteries and the risk of a future cardiac event (heart attack). For example, a calcium score of more than 400 is considered severe, and it would be necessary to take steps to prevent further advancement of atherosclerosis and plaque formation. The higher the calcium score, the more likely there is severe stenosis. On the other hand, a calcium score of 0 does not rule out the existence of soft plaques, but statistically rules out significant coronary artery disease. Though the calcium score does not allow us to evaluate the incidence of soft plaques, it does alert us to the presence and extent of CAD. The higher the calcium score, the more likely soft plaques are present. (Remember that the rupture of a soft plaque is the most common cause of acute coronary syndrome.)2
| Calcium Score | Presence of Plaque |
| 0 | No evidence of plaque |
| 1-10 | Minimal evidence of plaque |
| 11-100 | Mild evidence of plaque |
| 101-400 | Moderate evidence of plaque |
| Over 400 | Extensive evidence of plaque |
In the past, guidelines have regulated that all adults undergo coronary heart disease (CHD) risk assessment using the Framingham risk score (FRS) as the standard. (See http://hp2010.nhlbihin.net/atpiii/calculator.asp?usertype=prof.) Now, there is compelling evidence that this risk assessment can be improved with the addition of coronary artery calcium scoring (CACS).3 We have the tools to detect CAD before individuals develop symptoms, and can intercede with proper management to prevent progression of the disease. We can even possibly reverse the process.
Unfortunately, as with many diagnostic tools, there is a cost factor. To date, many insurers have not reimbursed for this test, especially for younger individuals. Hopefully, this will change in the near future, as mounting data indicate it is cheaper to prevent coronary artery disease than it is to treat it.
References
- Meschino J. "Helping Patients Achieve a Cholesterol Level Below 150 mg/dL." Dynamic Chiropractic, April 9, 2007. www.chiroweb.com/archives/25/08/30.html.
- Schoepf UJ, Becher CR, Ohnesorge BM, Yucel EK. CT of coronary artery disease. Radiology, July 2004;232(1):18-37.
- Greeland P, LaBree L, Azen SP, et al. Coronary artery calcium score combined with Framingham score for risk prediction in asymptomatic individuals. JAMA, 2004;291:210-5.
Click here for more information about Deborah Pate, DC, DACBR.

